Hirdetés

Így nyerje vissza életminőségét: fogászati újdonságok 2026-ban (x)

Tünetkereső illusztrációTünetkereső Orvos válaszol illusztrációOrvos válaszol Gyógyszerkereső illusztrációGyógyszerkereső Kalkulátorok illusztrációKalkulátorok Betegségek A-Z illusztrációBetegségek A-Z
PR
2026. március 04. 00:00

A mindennapi életminőségünket ma már legalább annyira meghatározza a mosolyunk és a rágóképességünk, mint az, hogy mennyit sportolunk vagy hogyan táplálkozunk. 2026-ban a fogászatban két terület hoz óriási előrelépést: a digitális tervezésre épülő implantológia és a természetes hatású esztétikai megoldások, például az e.max héjak. Ezek nem pusztán „szépészeti extrák”, hanem nagyon is kézzelfogható életminőség-javító eszközök: magabiztosabb kommunikációt, könnyebb étkezést, jobb társas kapcsolódást adnak.

Digitális implantológia: stabil fogak, tervezhető eredmény

A modern fogbeültetés egyik legnagyobb előnye, hogy ma már nem „vakon”, hanem részletes, háromdimenziós adatok alapján történik. A 3D CBCT tervezés lehetővé teszi, hogy a fogorvos előre lássa a csontkínálatot, az idegek futását és az anatómiai sajátosságokat, és milliméter pontossággal tervezze meg az implantátum helyét. Ez nemcsak biztonságosabbá teszi a beavatkozást, hanem csökkenti a komplikációk esélyét, és gyorsabb gyógyulást eredményez.

A digitális tervezés további nagy előnye, hogy a páciens is érti, mi fog történni: képernyőn láthatja a saját csontállományát, az implantátumok tervezett helyét, sőt, gyakran azt is, hogyan fog kinézni a végleges fogpótlás. Ez a fajta átláthatóság erősíti a bizalmat, csökkenti a szorongást, és segít abban, hogy a páciens aktív döntéshozó legyen a saját kezelésében. Aki korábban a hiányzó fogai miatt került bizonyos ételeket vagy társas helyzeteket, egy jól megtervezett, fix implantátumos pótlással ismét gond nélkül rághat, és bátrabban jelenik meg mások előtt.

Az implantológia tehát ma már nem „végső megoldás”, hanem egy tudatosan tervezett, hosszútávra szóló befektetés az életminőségbe. Ha valaki részletesebben is megismerné, hogyan működik a 3D CBCT tervezés a gyakorlatban, érdemes szakmai oldalon tájékozódnia: a TriDent Budapest oldalán az implantológiai részletesen bemutatja a folyamat fő lépéseit: 3D CBCT tervezés.

Esztétikai fogászat: természetes, mégis „jobb, mint újkorában”

Így nyerje vissza életminőségét: fogászati újdonságok 2026-ban (x)

Így nyerje vissza életminőségét: fogászati újdonságok 2026-ban (x)

Forrás: trident.hu


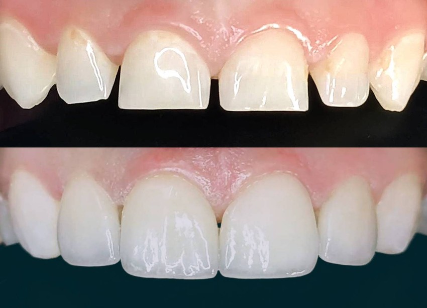
Aki valaha szégyellte a mosolyát – elszíneződött, töredezett, régi tömésekkel teli frontfogak miatt – pontosan tudja, hogy ez mennyire visszafoghatja a hétköznapi kommunikációt. Az esztétikai fogászat 2026-ban már messze túlmutat a „fehérebb fogak” ígéretén: a cél a természetes, az arc karakteréhez illeszkedő, funkcionálisan is tartós mosoly. Ebben kiemelt szerepe van az úgynevezett e.max porcelán héjaknak, amelyek vékony, mégis rendkívül erős kerámiahéjak és fémmentes koronák a fogakon.

Az e.max héjak Újpest környékén is elérhetőek olyan rendelőkben, amelyek mosolytervezéssel dolgoznak: fotók, szkenneres lenyomat és számítógépes tervezés, élethű modellek segítségével előre modellezik, hogyan fog kinézni a kész mosoly. Így a páciens nem „zsákbamacskát” kap, hanem beleszólhat forma, szín és karakter tekintetében is. Ez nemcsak esztétikai kérdés: aki újra mer nagyot mosolyogni, gyakran magabiztosabban megy állásinterjúra, prezentációra, randira – vagy akár csak egy családi fotó kedvéért szívesen áll a kamera elé.

Az esztétikai fogászat része lehet a régi, elszíneződött tömések cseréje, a fogak formai korrekciója, a foghossz, a látszó íny arányának finomhangolása is. Nem véletlen, hogy egyre több páciens „mosolyfiatalításként” tekint ezekre a kezelésekre: lokális beavatkozással az egész arc fiatalosabb, kipihentebb hatást kelthet. A TriDent Budapest esztétikai fogászati oldalán részletesen bemutatják, milyen esetekben jelenthet optimális megoldást ez a típusú beavatkozás: e.max héjak Újpest.

Így nyerje vissza életminőségét: fogászati újdonságok 2026-ban (x)

Így nyerje vissza életminőségét: fogászati újdonságok 2026-ban (x)

Forrás: trident.hu


Mit jelent mindez a páciensnek a hétköznapokban?

A digitális implantológia és az esztétikai fogászat közös metszete az, hogy mindkettő a mindennapi komfortot célozza. A jól tervezett implantátum stabilan tartja a rágóerőt, így ismét kerülhetnek a tányérra olyan ételek, amelyeket sokan hiányzó vagy mozgó fogak miatt évek óta kerülnek. Az esztétikailag rendezett, harmonikus mosoly pedig csökkenti a társas szituációkban tapasztalt feszengést: nem kell a szájat takarni, nem kell „mosoly nélkül mosolyogni” a fotókon.

2026-ban a legnagyobb különbség a korábbi évtizedekhez képest az, hogy ezek a kezelések egyre kiszámíthatóbbak, gyorsabbak és páciensbarátabbak. A 3D tervezés, a digitális lenyomatvétel, a modern anyagok és a precíz esztétikai megoldások egy irányba mutatnak: kevesebb kellemetlenség, több kontroll, jobb életminőség. Aki időben lép, sokszor nemcsak a fogait menti meg, hanem a saját önbizalmát és társas jelenlétét is.

Kövesse az Egészségkalauz cikkeit a Google Hírek-ben, a Facebook-on, az Instagramon vagy a X-en,Tiktok-on is!

Forrás: trident.hu

TÜNETKERESŐ

Milyen betegségre utalhatnak a tünetei?

Keresés, pl. fejfájás

Írja be a keresőmezőbe a tünetet vagy kattintson a testmodellen arra a testrészre, ahol a tüneteket észleli.

emberi test ábra

Mi a tünetkereső?

Ingyenes tünetellenőrző, ami percek alatt segíthet beazonosítani a problémáját!

Adja hozzá a Híreket a Google hírfolyamához

Címlapról ajánljuk