Agyi működés | Egészségkalauz

Agyi működés

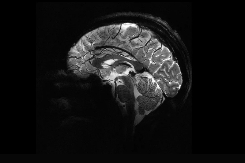
Tűpontos agyi felvétel: beüzemelték a világ legerősebb MRI gépét

Tűpontos agyi felvétel: beüzemelték a világ legerősebb MRI gépét

A gép alig négy perc alatt olyan részletes agyképet készített, amelyet eddig több órányi munkával sem.

Hogyan működik az agy? Mi az emberi memória?

Hogyan működik az agy? Mi az emberi memória?

Hogyan alakul a ki a memória és milyen folyamatok vezetnek hozzá az agyban? A memóriánk kialakulását és értelmét vizsgálják egy új kutatásban.

Világszerte robbanásszerűen nőhet a demensek száma a covid miatt

Világszerte robbanásszerűen nőhet a demensek száma a covid miatt

Súlyos Covid-19 után jön a demencia?