Ezeket látta már?

Tűpontos agyi felvétel: beüzemelték a világ legerősebb MRI gépét

Hírek
2024. április 09. 20:34
MRI agyi felvétel Alzheimer Parkinson

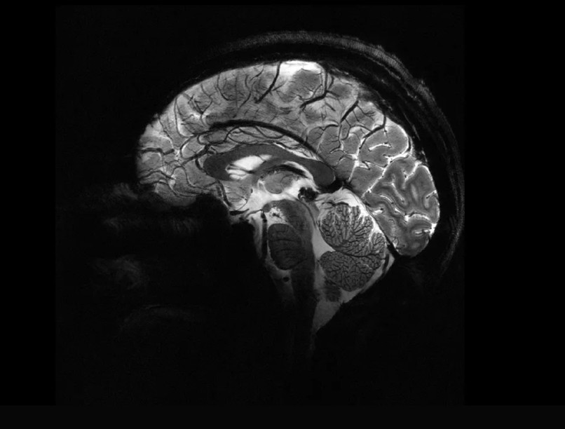
A gép alig négy perc alatt olyan részletes agyképet készített, amelyet eddig több órányi munkával sem.

Két évtized alatt közel kétszáz mérnök dolgozott egy olyan mágnesesrezonancia-képalkotó berendezés fejlesztésén, amely potenciálisan jobb betekintést nyújthat az Alzheimer-kór és a Parkinson-kór működésébe.

A francia atomenergia-bizottság (CEA) kutatói beüzemelték a világ legnagyobb erejű MRI-készülékét, hogy demonstrálják annak képességeit. Az eredmény lenyűgöző volt: a gép alig négy perc alatt olyan részletes agyképet készített, amelyet a hagyományos eszközök több órányi munkával sem tudtak volna megvalósítani – számol be az IFLScience.

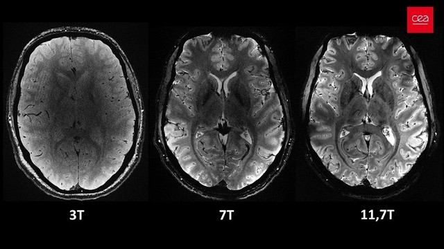
A mágnesesrezonancia-képalkotó berendezések erős mágneses térrel veszik körbe a vizsgált testrészt. Míg a legtöbb kórházi eszköz 1,5-3 tesla (T) erősségű, a mostani gép 11,7 T-vel dolgozik, ami rendkívül részletes felbontást tesz lehetővé sokkal rövidebb idő alatt. Ez különösen fontos, mivel a betegek csak rövid ideig tudnak mozdulatlanul feküdni. Az új technológia nagy segítséget jelenthet az Alzheimer-kór és a Parkinson-kór kutatásában, mivel részletesebb információkat szolgáltathat az agy elváltozásairól, ami hatékonyabb terápiák kifejlesztését teszi lehetővé.

https://www.egeszsegkalauz.hu/betegsegek/psziches-betegsegek/pszichozis-skizofrenia-bipolaris-zavar-kezeles/0x44d45?utm_source=cikkvegi&utm_medium=egeszsegkalauz&utm_campaign=portfolio_offe

Agyi felvételek

Forrás: IFLScience


Nicolas Boulant, a CEA kutatási igazgatója szerint az ilyen erősségű MRI-vel akár bizonyos kémiai anyagok jeleit is rögzíthetik, mint például a lítiumot, amelyet a bipoláris zavar kezelésére alkalmaznak. A gép segítségével pontosan nyomon követhetik az anyag eloszlását az agyban, ami mélyebb betekintést nyújthat a működésébe.

Boulant elmondása szerint az Iseult-projekt egy teljesen új világot nyit meg előttük, és izgatottan várják, hogy felfedezzék azt. A CEA célja, hogy 2026 és 2030 között részletesen feltárják a neurodegeneratív betegségeket és a pszichiátriai problémákat, például a skizofréniát és a bipoláris zavart. A gép fejlesztése során több mint kétszáz ember dolgozott a projektben, és a végeredmény egy 132 tonnás, 5 méter hosszú és széles eszköz lett, amelyben 182 kilométernyi szupravezető vezeték található. A mágneseket folyékony héliummal hűtik -271,35 Celsius-fokra.

<KÖVETKEZŐ CIKK>

Pszichózis: hogyan lehet kezelni a skizofréniát és a bipoláris zavart?

EGÉSZSÉGKALAUZ DOSSZIÉ

Kövesse az Egészségkalauz cikkeit a Google Hírek-ben , a Facebook-on, az Instagramon vagy a X-en, Tiktok-on is!

Forrás: IFLScience
# mri # MRI-vizsgálat # agyi működés # Alzheimer-kór # Parkinson-kór

TÜNETKERESŐ

pulzus ikon

Milyen betegségre utalhatnak a tünetei?

keresés

Keresés, pl. fejfájás

Írja be a keresőmezőbe a tünetet vagy kattintson a testmodellen arra a testrészre, ahol a tüneteket észleli.

emberi test ábra

Mi a tünetkereső?

Ingyenes tünetellenőrző, ami percek alatt segíthet beazonosítani a problémáját!

Adja hozzá a Híreket a Google hírfolyamához
Tünetkereső illusztráció Tünetkereső Orvos válaszol illusztráció Orvos válaszol Gyógyszerkereső illusztráció Gyógyszerkereső Kalkulátorok illusztráció Kalkulátorok

Extra ajánló

Értesüljön legújabb híreinkről hírlevelünkből

Legnépszerűbb

egészségkalauz logo

TÜNETKERESŐ

pulzus ikon

Milyen betegségre utalhatnak a tünetei?

keresés

Keresés, pl. fejfájás

Keresés