17. oldal - Alzheimer-kór | Egészségkalauz

Alzheimer-kór

Normál öregedés vagy Alzheimer-kór -  így tegyen különbséget köztük

Normál öregedés vagy Alzheimer-kór - így tegyen különbséget köztük

Olykor nehéz eldönteni, hogy szerettünk az Alzheimer-kór kezdeti szakaszában van, vagy a panaszokat a pusztán az öregedés okozza.

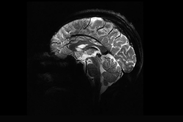
Az agyunk 40, 50, 60 éves korban és azon túl: mire számíthatunk az életkor előrehaladtával?

Az agyunk 40, 50, 60 éves korban és azon túl: mire számíthatunk az életkor előrehaladtával?

Tudjuk, hogy az idő előrehaladtával nem marad olyan sima a bőrünk, mint fiatal korunkban, és hogy nem tudunk olyan gyorsan futni, mint középiskolásként. Viszont reméljük, hogy memóriánk és a gondolkodási készségeink változatlanok maradnak.

Itt egy gyulladásgátló nyomelem, ami lassíthatja a bőr öregedését! Ilyen ételek tartalmazzák

Itt egy gyulladásgátló nyomelem, ami lassíthatja a bőr öregedését! Ilyen ételek tartalmazzák

Legfontosabb szerepe az antioxidáns tulajdonságából következik.

Mi az Alzheimer-kór? Tünetek, okok, kezelések

Mi az Alzheimer-kór? Tünetek, okok, kezelések

Az Alzheimer-kór az időskori elbutulás (demencia) leggyakoribb oka, a betegség lefolyása általában 8‑12 év.

Túl veszélyes az immunrendszer ahhoz, hogy ugyanúgy működjön az agyunkban, mint testünk más részén

Túl veszélyes az immunrendszer ahhoz, hogy ugyanúgy működjön az agyunkban, mint testünk más részén

Ezzel a magyar felfedezéssel most még közelebb kerülhetünk agyunk megértéséhez.

Alzheimer-kór: az idegsejtpusztulás és a cukoranyagcsere-zavar összefügghet

Alzheimer-kór: az idegsejtpusztulás és a cukoranyagcsere-zavar összefügghet

A cukoranyagcsere zavarai számos betegség kialakulásához vezethetnek, így az időskori memóriavesztésért felelős Alzheimer-kór egyik fő rizikófaktora is.

Ez a furcsa tünet évekkel előre jelezheti a demenciát és a Parkinson-kórt

Ez a furcsa tünet évekkel előre jelezheti a demenciát és a Parkinson-kórt

Nem árt odafigyelni erre az alvás közben fellépő problémára, hiszen demenciát vagy Parkinson-kórt is jelezhet.

Az új teszt 9 évvel előre megjósolhatja a demenciát

Az új teszt 9 évvel előre megjósolhatja a demenciát

A kutatók szerint hatalmas áttörést értek el, mivel az új teszt 80%-os pontossággal kilenc évvel előre megjósolhatja a demenciát, még a hivatalos diagnózis előtt.