Glioblasztóma | Egészségkalauz

Glioblasztóma

„A migrénemről kiderült, hogy agydaganat” - az édesanya megtanult nem félni a haláltól

„A migrénemről kiderült, hogy agydaganat” - az édesanya megtanult nem félni a haláltól

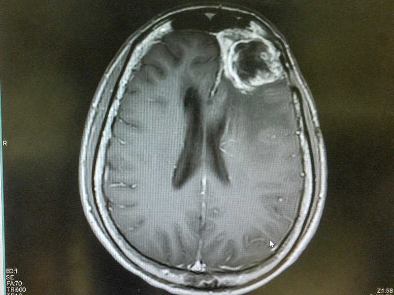
Az édesanyánál glioblasztómát, a legagresszívebb agydaganatot diagnosztizálták.

Megvan a leghalálosabb agyrák ellenszere? Nézze meg, mit talált a kínai-amerikai kutatócsoport

Megvan a leghalálosabb agyrák ellenszere? Nézze meg, mit talált a kínai-amerikai kutatócsoport

Nanorészecskék képesek voltak célzottan felismerni és megtámadni a daganatsejteket.

Koleszterin-megvonással éheztetik ki a rákot a kutatók_

Koleszterin-megvonással éheztetik ki a rákot a kutatók_

A módszer, amely a glioblasztóma agydaganatot körülvevő asztrocitákat veszi célba, kiirtotta a tumorsejteket és meghosszabbítta az élettartamot állatmodellekben.

Félrediagnosztizálták, majd kiderült, csak 18 hónapja maradt az életből az anyának

Félrediagnosztizálták, majd kiderült, csak 18 hónapja maradt az életből az anyának

Azt hitték, húgyúti fertőzése van, de kiderült, a rák egy agresszív formája támadta meg. Ezek voltak az első tünetei.