Vizsgálat
Hüvelyszárazság terhesség alatt: ezért növelheti a vetélés kockázatát
Miért fontos orvoshoz fordulni, ha a várandósság alatt hüvelyszárazságot tapasztalunk?
10+1 fontos teendő a babavállalás előtt
Íme néhány lépés, amelyek segítségével a gyermekvállalás nyugodtabb és gördülékenyebb lehet.
Porckopás okozta térdfájdalom: így vethet véget a fájdalomnak
Az évek előrehaladtával szinte nincs is olyan ember, akinél ne jelentkeznének különböző reumatológiai fájdalmak, a térdfájdalom is közéjük tartozik. Mi állhat a hátterében, és hogyan lehet védekezni ellene?
Mit jelent, ha P4 lett a rákszűrés eredménye? A nőgyógyász válaszol
Aggodalomra adhat okot, ha a nőgyógyászati rákszűrésnek P4 lett az eredménye?
Szoptatás után mennyi időnek kell eltelnie egy mammográfiai vizsgálat előtt? Az orvos válaszol
Tisztelt Orvosok! Egy általános jellegű kérdésem lenne.
Ebben az esetben nagy baj lehet, ha jódot visz be a szervezetébe!
Jódfogyasztás okosan: ezért olvassa el a várandós vitaminok leírását!
Gyakori hasfájás, hányás, székrekedés? Ezért fontos az ultrahang gyerekeknél
A hasfájás, a székrekedés, a hányás és a puffadás gyakori panaszok gyerekeknél, azonban, ha a tünetek nem múlnak el, vagy mások is társulnak hozzájuk, mindenképpen fontos utánajárni, mi okozhatja azokat.
Milyen okai lehetnek a terhesség alatti vérzésnek? A szülész-nőgyógyász elmondja
A terhesség alatt bekövetkező vérzés, még ha csak pecsételő is, nyugtalaníthatja a kismamákat, ezért – bár az esetek nagy részében ártatlan jelenségről van szó -, érdemes azzal nőgyógyászhoz fordulni.
Szülei, nagyszülei életmódja is befolyásolhatja, hogy beteg lesz-e
Egy-egy rossz szokás több generáción keresztül is óriási károkat okozhat.
A megfelelő D-vitamin szinthez az sem mindegy, milyen szögben süt ránk a nap
Siralmasan alacsony lehet a D-vitamin termelődés, még nyáron is!
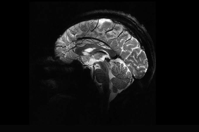
Ez a szervünk saját magát tanítja, gyógyítja vagy programozza újra!
Az agy hihetetlenül rugalmas - folyamatosan változik és lenyűgöző, öngyógyító, önfejlesztő képességekkel rendelkezik.
Gyermekvállalás 30 felett: ezekre az értékekre érdemes figyelni a leleten
Ha már megszületett a döntés a családalapításról, néhány egyszerű vizsgálat és az életmódváltás segíthet, hogy ne legyen elhúzódó és nehézkes folyamat a gyermekvállalás.
Kontrasztanyagos MR-en voltam, normális, hogy utána fáj a karom? Az orvos válaszol
Délután időközönként fájt a bal alkaromban és ujjaimban az ér nyugalmi helyzetben, erőltetés (ráfekszem, gyereket viszek) során pedig minden esetben.
A szívet is tönkreteheti, ha a terhesség alatt egészségtelenül táplálkozik
A terhesség a női test számára nagy kihívást jelent, mégha egy teljesen természetes folyamatról is van szó.
Vérzés a várandósság alatt: ezek lehetnek a lehetséges okok
A vérzés a nők ciklikus természetes folyamata - kivéve, ha éppen a terhesség alatt jelentkezik!
Nem kell agy a tanuláshoz? Egy új kutatás meglepő eredményre jutott
A tanulmány megkérdőjelezi azokat a korábbi elképzeléseket, amelyek szerint a tanuláshoz feltétlenül központi agyra van szükség, és fényt derít a tanulás és a memória evolúciós gyökereire.
Gyermekkori szexualitás: még mindig gyakran félreértett, tabuként kezelt a téma
Miért olyan fontos e téren is a gyermekek nevelése, és mikor kezdjük el?
Okozhat-e rákot a röntgen? Az orvos válaszol
Van-e rizikója a röntgenfelvételeknek?
Terhességi diabétesz: felléphet-e a következő várandósságokban?
Ha az állapotot nem kezeljük, az súlyos kockázatot jelent mind az anya, mind pedig a magzat számára.
Kemoterápia után kiújuló daganat: ezzel a kezeléssel megakadályozható?
Magyar és osztrák orvosok új támadáspontot azonosítottak a kemoterápiát túlélő tumorsejtekben, így hatékonyabbak lehetnek a kezelések.
Ezzel a vizsgálattal korán kimutatható a daganatra való hajlam
Ha tudni szeretné, mely rosszindulatú daganatokra van hajlama, érdemes ezt a tesztet elvégeztetnie.
Extra ajánló
- 
                            
                                Mit jelent valójában a szövettani eredmény? – A mellrák diagnózisának legfontosabb lépése (x)A melldaganat rendkívül sokszínű, heterogén betegség, így a kezelés és gyógyulás szempontjából nagyon fontos momentum, amikor az érintettek kézhez kapják a szövettani leletet. A rózsaszín ezer árnyalata podcast negyedik epizódja abban segít, hogy az érintettek jobban megértsék, egy szövettani lelet esetén mit jelentenek a számok és rövidítések a dokumentumban, és miért kulcsfontosságú ez az információ a kezelések meghatározásában. 
- 
                            
                                Miért érdemes a tányérunkra több színt és növényi alapanyagot tenni? Ez a recept megmutatja (x)Bár hűvösebbé váltak a napok, az ősz továbbra is remek alkalmat kínál szabadtéri programokra, különösen egy hangulatos kerti sütögetésre. Egy szabadtéri grillezés összehozhatja a családot, baráti társaságot, de akár lehetőséget is nyújthat új gasztronómiai élményekre. Egyre többen jönnek rá, hogy a grillezés nem csak a tarjáról, a grill sajtról és a majonézes salátáról szól, és hajlandóak kipróbálni frissebb, könnyedebb növényi alternatívákat is, mint például a gyümölcsös tofu nyársat, friss kerti zöldekkel, mézes-mentás tökmagolajjal. 
- 
                            
                                A hormonegyensúly nem luxus, hanem a testi-lelki harmónia alapja (x)A modern életvitel sajnos nem kedvez testünk finomra hangolt rendszereinek. Az állandó stressz, a kevés alvás, a rendszertelen étkezések és a környezeti toxinok mind-mind próbára teszik szervezetünket, különösen a hormonrendszert. Pedig a hormonális egyensúly nem csupán „női ügy”: alapvetően határozza meg, mennyire érezzük magunkat energikusnak, kiegyensúlyozottnak és életrevalónak. 
- 
                            
                                Sokkal több mint szaglószerv: ezért kell vigyázni az orrunkra (x)Az egészséges orr nem csak a légzés miatt fontos. Nélküle nem érzünk illatokat, ízeket, a hangunk is megváltozik, sőt, még a külsőnkre is hatással van. Persze, a formája a náthától nem változik, de ha eldugul, kiszárad és kipirosodik, azt nemcsak a szépségünk bánja. 
Értesüljön legújabb híreinkről hírlevelünkből
Legnépszerűbb
- 
                        
                            Ne vegye meg ezt a WC-papírt - gombás fertőzést okozhat! Orvos árulta el: a legtöbb nő rossz toalettpapír használ – és nem is tud rólaA legtisztábbnak hitt WC-papír okozhatja a legtöbb galibát. Egy bőrgyógyász szerint a bőrünk számára korántsem biztonságos mindegyik toalettpapír – így válasszon okosan. 
- 
                        
                            A végbélrák nem válogat, és nem ad második esélyt: ezek a legelső tünetek, amikor még időben léphetA végbélrák korai jelei: mit tegyen, ha változást tapasztal? 
- 
                        
                            Ezért egyre több a daganatos megbetegedés minden korosztálybanAz utóbbi két évtizedben drámaian emelkedett az elhízással összefüggő daganatok száma világszerte – nemcsak az idősebbek, hanem a fiatalabb felnőttek körében is. 
- 
                        
                            Vaj helyett ezt tegye a pirítósra – finomabb, mint gondolná, és közben a szívét is védiHozzájárul a szív egészségéhez, támogatja az érrendszert és segít fenntartani a normális koleszterinszintet ez az olaj. 
- 
                        
                            A cukorbetegség 4 árulkodó bőrtünete – így próbálja meg testünk jelezni a bajtA bőr sokszor hamarabb árulja el, hogy baj van, mint bármelyik laborlelet. 
- 
                        
                            Hogyan kell hasznáni az almaecetet finom ráncok, májfoltok ellen?Az idő előrehaladtával bőrünk megváltozik és veszít rugalmasságából, egy egyszerű konyhai alapanyag azonban segíthet eltüntetni az apróbb ráncokat és a pigmentfoltok első jeleit. 
TÜNETKERESŐ
Milyen betegségre utalhatnak a tünetei?
Keresés, pl. fejfájás
Keresés