Ezeket látta már?

Visszér-vagy szívpanaszokkal küzd? Tudjon meg többet állapotáról Doppler vizsgálattal

Diagnosztika
2015. április 17. 12:47
Módosítva: 2015. november 04. 13:49

A szív-és érrendszeri problémák nem csak Magyarországon, hanem az egész világon népbetegségnek számítanak, melynek szövődményei a vezető halálokok közt szerepelnek. Éppen ezért érdemes panaszok esetén – illetve ha nagyobb kockázati csoportba tartozik- ellenőriztetni erei állapotát, hogy elkerülhesse a súlyosabb problémákat. Az artériák és a vénák ultrahangos vizsgálatáról dr. Szabó Andrea, az Ultrahang Központ radiológus főorvosa beszélt.

Vénák és artériák a testben

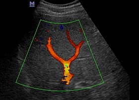
uh-doppler-d00001FD03f90dbc950c7

Forrás: Sajtóközlemény


Testünk alapvető működésének fő alappillére a vérkeringés, mely a vérhálózaton keresztül történik. Az érrendszer verőerekből (artéria), visszerekből (véna), valamint apró hajszálerekből (kapilláris) áll. Az artériák feladata az oxigéndús vér szállítása a szívtől a sejtek, szövetek felé, míg a vénák ezzel szemben oxigénben szegény, ám széndioxidban gazdag vért szállítanak a tüdő felé. A kapillárisok mind az artériás, mind a vénás rendszerhez kötődnek, ugyanis ezek biztosítják a sejtek, szövetek oxigénellátását, valamint gyűjtik össze az elhasznált vért- így tehát lényegébe a szövetek és a vér közti anyagcserét teszik lehetővé.

Érszűkület, visszértágulat, trombózis

Mivel a megfelelő véráramlás életünk mozgatórugója, így az érhálózatban bekövetkező károsodások súlyos problémákat, akár életveszélyt i okozhatnak. Ilyen például az érszűkület, a visszértágulatok megjelenése, valamint a trombózis. Az érszűkület a verőerek meghibásodása, melynek során az érelmeszesedés hatására az erek keresztmetszete csökken, a bennük lévő a vérnyomás megnő, majd a falai merevvé, rugalmatlanná válnak. Ezáltal egyrészt csökken a szövetek oxigén-ellátottsága, másrészt a vérnyomás megemelkedése miatt mikrosérülések keletkezhetnek az erek belső, (endothel falán), ami vérrögképződéshez vezethet és kialakul a szívinfarktus, illetve a stroke.

Míg az érszűkület elsősorban az idősebb korosztályt érinti (bár már fiatalon is elkezdődhet), addig a visszértágulatok már a húszas években is jelentkezhetnek. Ekkor a vénák izmos fala meggyengül, így vérpangás alakul ki és a széndioxidban dús vér nem képes elszállítódni. A problémát súlyosbítja, amikor a vénákban lévő billentyűk is meghibásodnak, melyek feladata, hogy segítsenek a vénás vér egyirányú, a tüdő felé történő továbbításában. Ha a billentyűk veleszületetten gyengék, vagy pl. trombózis miatt elhalnak, akkor a vénás vér 5-20 cm-es szakaszon oda-vissza mozog és esélyes sincs eljutni a tüdőbe, hogy felfrissüljön. Sőt, az adott terület oxigén ellátását rontja, így alakul ki a lábszár fekély.

A visszértágulatok az esztétikai problémán túl fájdalmasak is lehetnek, ráadásul megnövelik a felületes visszérgyulladás, a fekély, valamint az életveszélyes tüdőembóliával fenyegető mélyvénás trombózis kialakulásának esélyét. Ez utóbbi esetben a mélyen fekvő vénákban vérrögök keletkeznek, melyek leszakadhatnak, és a véráramlás útján a tüdőbe kerülhetnek. A probléma hátterében a visszértágulatokon kívül genetikai hajlam (pl. MTHFR, Leiden-mutáció), rosszindulatú daganatok, helytelen életmód is állhat- mondja dr. Szabó Andrea, az Ultrahang Központ radiológus főorvosa, aki hozzátette, 40 év felett mélyvénás trombózis esetén kötelező a tumor keresés.

Ultrahangos vizsgálat lábfájdalom esetén és visszérműtét előtt is

Az erek állapotának megállapításához az egyik legjobb módszer a Doppler ultrahangos vizsgálat, mely során nem csupán az erek károsodásának fokáról kaphatunk pontos információt, de a bennük lévő keringésről, a vér áramlásáról is. A normál ultrahanghoz hasonlóan szintén fájdalommentes és nem igényel különösebb előkészületet, illetve semmiféle sugárterheléssel nem jár. A vizsgálat az érszűkület mértékének meghatározása mellett nagy segítségre lehet a vénabillentyűk állapotának megfigyelésében, valamint a mélyvénás trombózis diagnosztizálásában is.

Mikor érdemes Doppler ultrahang vizsgálatra jelentkezni?

magas vérnyomás

szédülés

szívbetegség

mélyvénás trombózis gyanúja esetén

visszértágulatok, felületes visszérgyulladás

visszérműtétek előtt

Megjegyzés: perifériás érszűkület, illetve szívbetegség esetén a nyaki erek doppler vizsgálata megmutatja az egész testben lévő artériák állapotát. Azonban nem vizsgálunk alsó végtagi artériákat érszűkület esetén, mert nem ad kielégítő eredményt. Ezeket az eseteket érsebész vizsgálja Doppler vizsgálattal, illetve CT angio-, vagy angio-MR kell a korrekt diagnózishoz- teszi hozzá a radiológus.

Forrás: Ultrahang Központ

Kövesse az Egészségkalauz cikkeit a Google Hírek-ben , a Facebook-on, az Instagramon vagy a X-en, Tiktok-on is!

Forrás: Sajtóközlemény
# egészség

TÜNETKERESŐ

pulzus ikon

Milyen betegségre utalhatnak a tünetei?

keresés

Keresés, pl. fejfájás

Írja be a keresőmezőbe a tünetet vagy kattintson a testmodellen arra a testrészre, ahol a tüneteket észleli.

emberi test ábra

Mi a tünetkereső?

Ingyenes tünetellenőrző, ami percek alatt segíthet beazonosítani a problémáját!

Adja hozzá a Híreket a Google hírfolyamához
Tünetkereső illusztráció Tünetkereső Orvos válaszol illusztráció Orvos válaszol Gyógyszerkereső illusztráció Gyógyszerkereső Kalkulátorok illusztráció Kalkulátorok

Extra ajánló

Értesüljön legújabb híreinkről hírlevelünkből

Legnépszerűbb

egészségkalauz logo

TÜNETKERESŐ

pulzus ikon

Milyen betegségre utalhatnak a tünetei?

keresés

Keresés, pl. fejfájás

Keresés