Ezeket látta már?

Hogyan működik a mandulánk?

Betegségek
2017. január 26. 14:17
Módosítva: 2017. január 26. 14:17

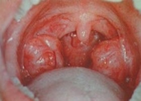
Az orr- és torokmandulák a szervezet védekező rendszerében töltenek be fontos szerepet. Ezen az endoszkópos felvételen jól látható a páros szerv. Az orrmandula viszont egy jóval eldugottabb helyen az orrgaratban található és csupán egy van belőle.

Dr. Horváth Miklós, fül-orr-gégész, egyetemi tanársegéd: "Az orr- és a torokmandula az immunrendszer alkotórésze. A testtől idegen anyagok felismerésében van szerepe és az ezek ellen történő ellenanyagtermelés megindításában."

mandula-280x200-d000005F2c4cdf77ceea2

Forrás: freepress.hu


A legsúlyosabb problémát az állandó gyulladásban lévő okozza. Ilyenkor folyamatosan jelen vannak benne a különböző betegségeket kiváltó kórokozók. Így sokszor a bőrbetegségekért, a reumás megbetegedésekért és akár a szívbelhártyagyulladásért is a mandula a felelős.

Dr. H. M.: "Tapasztalati úton jöttek rá, hogy ha eltávolítják a mandulát, akkor meggyógyulnak bizonyos betegségek például a bőrbetegségek, reumás megbetegedések."

Ilyenkor csak a gyors műtéti beavatkozás segít. Egészséges mandulát nem szokás eltávolítani. Kivéve, ha felmerül annak a gyanúja, hogy a mandula daganatot rejt. Ilyenkor a szövettani vizsgálathoz az egész szervet kiveszik.

Dr. H. M.: "Amikor például nyirokcsomóáttétet találunk a nyakon és sehol a szervezetben nem találunk daganatot, amiből ez az áttét keletkezhetett, ilyen esetben indokolt lehet egy látszólag ép mandula eltávolítása is, hiszen esetleg megtaláljuk a nyaki áttét forrását a mandulában."

Bár az orr- és torokmandulák a szervezet védekező mechanizmusában vesznek részt, eltávolításuk mégsem okoz egészségkárosodást. Ennek oka, hogy vannak más védőbástyái is szervezetünknek. S hogy mi ennek az oka? A magyarázat az egyedfejlődésben keresendő.

Dr. H. M.: "A manduláknak a szerepe az immunrendszer fejlődésében, elsősorban az élet első, második és harmadik évében van. Tehát felnőtt korban, idősebb gyermekkorban, a manduláknak az aktív immunvédekezésben már nincs jelentős szerepük."

A mandulaműtétek kis műtétnek számítanak, a beavatkozás csak rövid ideig tart és általában altatásban végzik. A műtéti kockázat és a lehetséges szövődmények száma minimális. Ennek ellenére, ha nincs baj vele, jobb, ha helyén marad.

Tekintse meg a témához kapcsolódó videónkat!

Forrás: Freepress.hu

Kövesse az Egészségkalauz cikkeit a Google Hírek-ben , a Facebook-on, az Instagramon vagy a X-en, Tiktok-on is!

Forrás: freepress.hu
# bakteriális fertőzés # fertőző betegség # légúti betegség # mandulagyulladás

TÜNETKERESŐ

pulzus ikon

Milyen betegségre utalhatnak a tünetei?

keresés

Keresés, pl. fejfájás

Írja be a keresőmezőbe a tünetet vagy kattintson a testmodellen arra a testrészre, ahol a tüneteket észleli.

emberi test ábra

Mi a tünetkereső?

Ingyenes tünetellenőrző, ami percek alatt segíthet beazonosítani a problémáját!

Adja hozzá a Híreket a Google hírfolyamához
Tünetkereső illusztráció Tünetkereső Orvos válaszol illusztráció Orvos válaszol Gyógyszerkereső illusztráció Gyógyszerkereső Kalkulátorok illusztráció Kalkulátorok

Extra ajánló

Értesüljön legújabb híreinkről hírlevelünkből

Legnépszerűbb

egészségkalauz logo

TÜNETKERESŐ

pulzus ikon

Milyen betegségre utalhatnak a tünetei?

keresés

Keresés, pl. fejfájás

Keresés