Kezeletlen fogágybetegség: így veszítsünk el egy fogat 10 év alatt (X)

foghijas_ember
Tünetkereső illusztrációTünetkereső Orvos válaszol illusztrációOrvos válaszol Gyógyszerkereső illusztrációGyógyszerkereső Kalkulátorok illusztrációKalkulátorok Betegségek A-Z illusztrációBetegségek A-Z
Betegségek
2018. június 05. 13:36
Módosítva: 2018. június 25. 17:46

Rendszeresen jár fogorvoshoz, gyakran leszedik a fogkövét, mégis vérzik az ínye fogmosáskor? Úgy érzi, hogy a fogai körül az ínye duzzadt, vörös? Amikor problémáiról beszámolt a rendelőben, csak annyit mondtak Önnek, hogy mossa kicsit alaposabban a fogait? Könnyen lehet, hogy fogágybetegségben szenved, mely 50 éves kortól a fogelvesztés leggyakoribb oka. Dr. Orbán Kristóffal, az Uniklinik fogászat parodontológus szakorvosával beszélgettünk a témáról.

Mennyire gyakori ma a fogágybetegség Magyarországon?

Dr. Orbán Kristóf

Dr. Orbán Kristóf

Forrás: Uniklinik.hu


Sajnos azt kell mondanom, hogy a fogágybetegség Magyarországon népbetegségnek számít. Hermann és munkatársai 2009-ben közölt felmérése alapján a hazai felnőtt lakosság 28százalékaszenved fogágybetegségben.

Ez a gyakorlatban azt jelenti, hogy hazánkban körül-belül négyből egy lakosnak az általános fogászati ellátáson kívül parodontológiai szakrendelésre is kellene kerülnie, hogy ne csak a fogai, hanem a fogágya is egészséges legyen - mondja Dr. Orbán Kristóf, a Uniklinik fogászat parodontológus szakorvosa.

Származhat komoly problémája a páciensnek, ha nem részesül szakszerű kezelésben?

És mi történik akkor, ha a fogágybetegség nincsen kezelve? Ez nagyon jó kérdés, hiszen azt gondolhatnánk, hogy a fogak elvesztése egészségügyileg nem hatalmas probléma (mondjuk egy agyvérzéshez képest), így a páciensek egy része ezt fel is tudja dolgozni. Ha a fogorvos azt mondja nekik, hogy "tisztelt betegem, sajnos el fogja veszíteni a fogait, de majd mindig készítünk valamilyen pótlást" (először hídpótlást, majd szépen lassan haladunk a kivehető fogpótlások irányába), abba sokan belenyugodnak.

Ám azzal is tisztában kell lenniük a pácienseknek, hogy a fogágybetegség, vagyis a fogak körüli gyulladt rögzítőrendszer gócnak minősül. Ez azt jelenti, hogy a fogágy gyulladása szisztémás immunreakciókat képes kiváltani, ugyanis az íny alatt felhalmozódó baktériumok és bakteriális bomlástermékek be tudnak jutni a keringésbe, és távoli szervekben tudnak különböző problémákat okozni.

A fogágybetegség például növeli az érelmeszesedés kialakulásának esélyét, így a szívinfarktus kockázatát, várandós hölgyeknél koraszüléshez vezethet, valamint a szakirodalom szerint cukorbeteg pácienseknél a fogágybetegség károsan befolyásolja a metabolikus zavar mértékét.

Kezeletlen fogágybetegség: így veszítsünk el egy fogat 10 év alatt (X)

Kezeletlen fogágybetegség: így veszítsünk el egy fogat 10 év alatt (X)

Forrás: EgészségKalauz


Amit most elmondott, az nem hangzik túl jól. Ezek szerint a fogágybetegség kezelésére nagyobb hangsúlyt kéne fektetni. Milyen lehetőségek vannak?

A legfontosabb a megelőzés. Ha valakinek nem megfelelő a szájhigiénéje, akkor a fogak felszínén megtapadó ételmaradékban már pár nap alatt olyan mennyiségű baktérium tud elszaporodni, ami ínygyulladást okoz. Az ételmaradék szép lassan fogkővé alakul, melyet otthon már nem lehet eltávolítani. Ezt ínygyulladásnak nevezzük, ilyenkor még egy hagyományos, ám igen alapos fogkő-eltávolítással tökéletesen helyre lehet állítani a fogak körüli szöveteket. Ebben lenne nagy szerepük a dentálhigiénikusoknak, akik a fogkő-eltávolítást követően személyre szabottan át tudják beszélni és be is tudják mutatni a fogmosás, fogköztisztítás lépéseit a páciensnek.

Több alkalom kell ahhoz, hogy valakinek a szájhigiénéje ne csak megfelelő, hanem tökéletes legyen, hiszen a cél az lenne, hogy soha többet ne alakuljon ki fogkő. Ha nincs fogkő, a gyulladást kiváltó baktériumok nem tudnak elszaporodni.

A felszínes fogkő-eltávolítás miatt, valamint a nem tökéletesített szájhigiéné hiányában az íny alatt kialakult fogkőben sajnos tovább tudnak szaporodni a baktériumok, melyek hónapok-évek alatt elkezdik pusztítani a fog körüli, az íny alatti gyökérhártyarostokat és a csontot. Ezt már fogágybetegségnek nevezzük. Ilyenkor már összetettebb kezelésre van szükség, mely a parodontológusok feladata.

És a fogágybetegséget még vissza lehet fordítani?

Sajnos nem. A fogágybetegség során elpusztult csont- és gyökérhártyarost-rendszer nem építhető vissza maradéktalanul. Bizonyos regeneratív műtétekkel valamilyen mértékben lehet javítani a fogágyon, de sajnos nagyon sok olyan esettel találkozom, ahol a páciens egész életében járt fogorvoshoz, viszont csak akkor kerül hozzám, amikor szinte az összes foga lötyög a szájában. Ha egy fog körül ilyen mértékű a csontvesztés, ott a fogat el kell távolítani. Ez egyébként azt jelenti, hogy a páciens 10-20 éven keresztül szenvedett fogágybetegségben, állandóan vérzett az ínye, de csak akkor küldték parodontológushoz, amikor már túl késő volt. 3-5 évvel korábban talán még meg lehetett volna menteni néhány fogát, 6-8 évvel korábban pedig az összeset - de így marad a fogeltávolítás. Tehát hangsúlyozom, a fogágybetegség kezelésében a legfontosabb a megelőzés, illetve a betegség időben történő felismerése, a kezelések megkezdése.

Kezeletlen fogágybetegség: így veszítsünk el egy fogat 10 év alatt (X)

Kezeletlen fogágybetegség: így veszítsünk el egy fogat 10 év alatt (X)

Forrás: EgészségKalauz


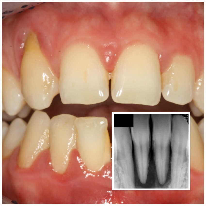
Aggresszív fogágybetegség klinikai ésröntgenképe

Kezeletlen fogágybetegség: így veszítsünk el egy fogat 10 év alatt (X)

Kezeletlen fogágybetegség: így veszítsünk el egy fogat 10 év alatt (X)

Forrás: EgészségKalauz


Regeneratív tasakműtét eredménye

Mi van akkor, ha valaki azt mondja, hogy "inkább megvárom, hogy kiessenek maguktól a fogaim, majd kapok implantátumokat"?

Ez gyakori hozzáállás a páciensek részéről, hiszen ki szeretne hosszadalmas kezeléseken átesni, csak hogy a kisebb-nagyobb mértékben károsodott fogággyal rendelkező fogakat megtartsuk? Tisztázzuk: ha valaki fogágybetegség miatt veszíti el a fogát, az azt jelenti, hogy teljesen eltűnt a csontja a fogai körül, és az ínye is nagyon vissza van húzódva. Ilyenkor csak úgy lehet implantátumot beültetni, ha előtte csontpótló műtéteken esik át a páciens.

Legtöbbször a csontpótlást követően az elpusztult lágyrészeket, vagyis az ínyt is pótolni kell. Ez egy páciens számára akár 6-8 műtétet is jelenthet, és ha csak abból indulunk ki, hogy egy komolyabb csontpótlás gyógyulási ideje 6-9 hónap (nagyjából ekkor lesz alkalmas az új csont az implantátum befogadására), már rögtön 2-3 éves kezelési időtartamról beszélünk. Ha van lehetőség a fogak megtartására, akkor szerintem orvosilag nem etikus kihúzni őket.

Térjünk vissza a kezelési lehetőségekre. Milyen lépései vannak a fogágybetegség kezelésének?

Gyakorlatilag az első nagyobb szakasz az úgynevezett konzervatív fázis, vagy oki parodontális terápia. Ez több alkalmat vesz igénybe, a kezelések elsődleges célja pedig a csontpusztulással járó gyulladásos folyamat megállítása. Az íny alatti fogkő és gyulladt szövetek eltávolításával (ez egy zárt kürettálást jelent, amely egy helyi érzéstelenítésben zajló beavatkozás) el lehet érni, hogy 2-3 hónap gyógyulási időt követően a fogágybetegség megálljon. Ezt követi az esetek egy részében a sebészi fázis, melynek során műtéti úton áttisztítjuk a fogak íny alatti felszínét, és lehetőség szerint megpróbálunk valamennyi rögzítőrendszert visszaépíteni a fogra. Ennek következtében a fogágybetegség teljesen megszűnik, a fogak körül ismét egészséges szövetek vannak.

A harmadik fázisra, a restauratív fázisra akkor kerül sor, ha fogakat is el kellett távolítani a kezelések során. Ez azt jelenti, hogy ebben a fázisban a már tökéletesen kikezelt fogak vannak a szájban, ilyenkor lehet megkezdeni a végleges pótlásokat készítését. Természetesen, ha egy páciensnek kihúzzuk egy fogát, mindig készítünk valamilyen ideiglenes pótlást, de a lényeg az, hogy csak olyan fogakra kerüljenek fel a végleges pótlások, melyek teljesen meg vannak gyógyítva.

Az utolsó fázis pedig a fenntartó, vagy inkább támogató fázis. Ez az angol "supportive" szóból ered, ami talán életszerűbb kifejezés, mint a "fenntartó". A támogató/fenntartó fázis ugyanis azt jelenti, hogy a páciensnek ezentúl az lesz a feladata, hogy a meggyógyított fogágyat gyulladásmentes állapotban tartsa. Ezt az otthoni tökéletes szájápolással tudja elérni. Természetesen a parodontológus feladata, hogy a páciens igyekezetét támogassa, és így közösen el tudjuk érni, hogy a fogágybetegség soha többé ne térjen vissza.

Az Uniklinik fogászat teljes körű ellátást nyújt az egész családnak. Gyerekfogászat, fogtömés, gyökérkezelés, implantáció, esztétikai fogászat, fogszabályozás: szakértőink összehangolt csapatmunkája profi és zökkenőmentes kezelést biztosít még a legbonyolultabb, több terület specialistáját igénylő beavatkozásoknál is.

Forrás: Periodontal health of an adult population in Hungary: findings of a national survey. Hermann P, Gera I, Borbély J, Fejérdy P, Madléna M.J Clin Periodontol. 2009 Jun;36(6):449-57. doi: 10.1111/j.1600-051X.2009.01395.x.

Kövesse az Egészségkalauz cikkeit a Google Hírek-ben, a Facebook-on, az Instagramon vagy a X-en,Tiktok-on is!

Forrás: EgészségKalauz
# fogágybetegség# fogorvos# góc# uniklinik

TÜNETKERESŐ

Milyen betegségre utalhatnak a tünetei?

Keresés, pl. fejfájás

Írja be a keresőmezőbe a tünetet vagy kattintson a testmodellen arra a testrészre, ahol a tüneteket észleli.

emberi test ábra

Mi a tünetkereső?

Ingyenes tünetellenőrző, ami percek alatt segíthet beazonosítani a problémáját!

Adja hozzá a Híreket a Google hírfolyamához

Címlapról ajánljuk