Ezeket látta már?

Koronavírus-fertőzés tünetei, kezelése, szövődményei és a koronavírus-mutációk

Betegségek
2021. március 30. 16:40
koronavírus, covid-19, fertőzés, koronavírus tünetei, koronavírus diagnózisa, koronavírus lefolyása, koronavírus kezelése, koronavírus szövődményei

COVID-19 okozta koronavírus-fertőzés tünetei, kialakulása, lefolyása. Hogyan előzhetjük meg, és miért olyan veszélyesek a koronavírus mutációi és szövődményei?

2019 decemberében jelent meg egy kínai tartományban az az új típusú koronavírus, amely azóta világjárvánnyá vált. A koronavírus elsősorban légúti tüneteket okoz, szövődménye a súlyos tüdőgyulladás.

Koronavírus és COVID-19 tudnivalói

A 2019-nCoV (SARS-CoV-2) névre keresztelt vírus a koronavírusok közé tartozik. Jelenleg 7 olyan koronavírusról tudunk, ami az embereknél is képes betegséget okozni. Ezek súlyossága nagyon változatos lehet, az egyszerű náthától a súlyos légúti problémákig. Szintén a koronavírusok a felelősek a néhány éve feltűnt SARS-ért és MERS-ért. A vírus okozta betegség hivatalos neve COVID-19.

A koronavírus először állatról terjedt emberre, a forrás valószínűleg valamilyen denevér, majd a köztes gazda egy tobzoskaféle volt (a forrás egyelőre nem ismert). Emberről emberre is terjed, még a lappangási idő alatt, az első klinikai tünetek megjelenése előtt is képes fertőzni. A szakemberek szerint egy már fertőzött ember minimum 3 másiknak képes átadni a betegséget, amíg más források ennél jóval nagyobb számról írnak.

A koronavírus epidemiológiája

A kezdeti megállapítások, miszerint az új koronavírus Kínában, a Hubej tartományban található Vuhan városában jelent meg először, megdőlni látszanak. Világszerte vizsgálják annak lehetőségét, hogy már hónapokkal - sőt, van, olyan kutató, aki azt sem tartja lehetetlennek, hogy akár évekkel - ezelőtt megjelent a koronavírus, azonban a lassú mutáció miatt csak most vette észre az emberiség.

Koronavírus mutációi

A vírusok, mivel rendkívül gyorsan szaporodnak, szinte folyamatosan változnak, mutálódnak, ez természetes jelenség, melyre a szakemberek „számítanak”. Az, hogy ezek a mutációk hogyan viselkednek, sok tényezőtől függ. Előfordulhat, hogy egy koronavírus variáns átveszi a „régi” vírus helyét, esetleg azzal párhuzamosan fertőz, máskor pedig az új variáns hosszabb-rövidebb idő alatt eltűnik.

A SARS-CoV-2 2019-es felbukkanása óta valószínűleg több ezer variáns alakult már ki, ezeknek azonban csak egy részét azonosították, és alig néhány van, mely némi aggodalomra adhat okot.

A könnyebben, gyorsabban terjedő koronavírus-variánsok több esetet okozhatnak, folyamatosan emelkedhet a betegek száma. Azt sem lehet kizárni, hogy az új variánsok súlyosabb tüneteket és komolyabb betegséget okoznak, így az egyébként is túlterhelt egészségügyi ellátórendszerre még több nyomás nehezedik majd.

Megnehezítheti az új variánsok elleni küzdelmet, hogy még nem tudjuk pontosan, milyen szövődményeket okozhatnak (a már ismerteken kívül), hogyan reagálnak a védőoltásokra vagy a gyógyszeres kezelésre.

Az eddig legismertebb mutációk:

Kiket érinthet a koronavírus?

Más, a légutakat érintő virális fertőzésekhez hasonlóan a koronavírus okozta megbetegedések is bárkit érinthetnek. Mint minden fertőzésre, erre is fogékonyabbak lehetnek a krónikus betegségekben szenvedők, a legyengült immunrendszerűek, a kisgyerekek és az idősebbek.A betegség lefolyása náluk súlyosabb tünetekkel járhat, és a szövődmények is gyakoribbak.

Tudta, hogy ma már otthon, önmagának is megcsinálhatja a koronavírus-tesztet?Itt megnézheti, hogy működik az önmintavételes, kombinált PCR-teszt .

A koronavírus tünetei

A COVID-19 lappangási ideje a becslések szerint 2-14 nap, de egyes szakemberek szerint akár 27 nap is lehet. A koronavírus tüneteinek súlyossága egyénenként nagyon eltérő lehet, van, aki szinte teljesen tünetmentes, másoknak pedig csak enyhe tüneteik vannak. Ez sajnos megkönnyíti a fertőzés terjedését.

A koronavírus a légutakat támadja meg. Sokáig úgy gondolták, hogy a koronavírus-fertőzés tünetei kezdetben hasonlítanak az influenza vagy egyéb légúti fertőzés tüneteihez, de mostanra azt is megállapították, hogy ezen tünetek nem feltétlen a legelsők. Sokak esetében mindezt hasmenés és étvágytalanság előzte meg.

A koronavírus diagnózisa az alábbiak alapján történhet:

  • láz
  • fáradékonyság és gyengeség
  • légzési nehézségek (súlyos tünet)
  • légszomj (súlyos tünet)
  • száraz köhögés
  • hasmenés
  • nyomásérzés, fájdalom a mellkasban (súlyos tünet)
  • fejfájás (ritkábban)
  • étvágytalanság
  • beszédképesség elvesztése, mozgásképtelenség (súlyos tünet)
  • torokfájás (ritkábban)
  • orrfolyás (ritkábban)
  • kötőhártya-gyulladás (ritkábban)
  • fájdalomérzet
  • szaglás/ízlelés elvesztése (ritkábban)
  • bőrkiütés, vagy elszíneződés a lábujjakon, ujjakon (ritkábban)
  • repedezett, száraz ajkak (ritkábban)
  • fülzúgás (tinnitus) (ritkábban)
  • afta, nyelvfájdalom (ritkábban)
  • herpesz (ritkábban)
  • véletlenszerű szagok, melyeket valójában nem érezni (ritkábban)
  • a látómezőben lebegő foltok (ritkábban)
  • ájulás, kollapszus (syncope) (ritkábban)
  • nyelven, szájüregben megjelenő afták, kiütések
  • szédülés
  • fülzúgás
  • hallásvesztés
Koronavírus tünetei, Koronavírus diagnózisa, Koronavírus lefolyása, Koronavírus kezelése, Koronavírus szövődményei, koronavírus, covid, covid-19

A koronavírus tünetei közé tartozik a köhögés, de a hasmenés is intő jel lehet

Forrás: Shutterstock


A szakmai szervezetek reagálásának köszönhetően rövid időn belül elkészült az a teszt, mely lehetővé tette a koronavírus gyors azonosítását. A koronavírus jelenlétét vérszérumból vagy a légzőrendszerből vett mintából (pl. orr- vagy torokkenetből, váladékból) lehet kimutatni.

A koronavírus fertőzés lefolyása, szövődményei

A koronavírus-fertőzés lefolyása az esetek nagyjából 75-80 százalékában enyhe vagy közepesen súlyos tünetekkel jár együtt, az érintettek negyedénél volt súlyos a betegség. A kórházi kezelésre szorulók egy része a fertőzés előtt egészséges volt. A halálos áldozatok azonban azok jellemzően közül kerültek ki, akik a fokozott rizikójú csoportokba tartoztak, például krónikus betegségeik, szívproblémáik, cukorbetegségük volt, vagy idősebbek voltak.

A COVID-19 elsődlegesen cseppfertőzéssel terjed, de nem kizárt, hogy a fertőzött széklettel való érintkezés során is elkaphatjuk a betegséget. Jelenleg még nincsenek megbízható információk arról, hogy a vírust a fertőzött felületek megérintésével is elkaphatjuk-e.

Koronavírus tünetei napról napra: ez a 2 nap kritikus, kattintson!

A koronavírus a lappangási idő alatt is képes továbbterjedni. Az influenzaszerű tünetek után a betegség továbbterjedhet a tüdőre, súlyos légzési nehézségeket okozva. A koronavírus szövődménye tüdőgyulladás, akut légzőszervi distressz szindróma (ARDS), szeptikus sokk, veseelégtelenség, végső esetben pedig halál is lehet. A gyógyult betegek egy részénél krónikus fáradtság és poszttraumás stressz alakulhat ki.

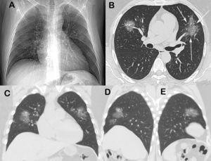
koronavirusos tudogyulladas rontgen

Koronavírusos tüdőgyulladás röntgenfelvétele (a fehér rész az érintett)

Forrás: egeszsegkalauz.hu


Újabb amerikai kutatások szerint a koronavírussal fertőzött emberek közel 6 százalékánál mentális betegségek alakulhatnak ki 90 napon belül. A szorongás, depresszió és álmatlanság a leggyakrabban jelentkező mentális egészségügyi probléma volt azon gyógyult koronavírusosok körében, akiknél pszichés zavar alakult ki. A demencia kialakulásának is jelentősen megnőtt a kockázata a szakértők szerint.

Post-Covid tünetei

Miközben a koronavírust már nem lehet kimutatni a szervezetben, a post-Covid (azaz a koronavírus-fertőzés utáni állapot) hasonló tüneteket produkál, mint maga a koronavírus-fertőzés és gyakran egy-egy tünet hónapokig megmarad: Post-covid tünetek lehetnek:

  • nehézlégzés
  • szaglásvesztés
  • fáradékonyság
  • heves szívdobogás
  • brain frog, ami egy ködös, tompult tudatállapot jelent
  • poszttraumás stressz-szindróma

A koronavírushoz hasonlóan a post-Covid szindróma során is ugyanazok a szervek sérülhetnek, mint az aktív-Covid alatt, ezek a következők:

  • keringési rendszer: ilyenkor erős szívdobogást és az ingadozó vérnyomást tapasztalunk;
  • tüdő: ilyenkor hasonló CT-képet produkálhat, mint aktív Covid-fertőzés alatt, ami nehézlégzést, köhögést okoz;
  • vese: ilyenkor veseelégtelenséget idéz elő;
  • idegrendszer: ilyenkor gyengeséget, izom-és végtagfájdalmat, valamint pszichés terheltséget okoz.

A felerősödött immunválasz miatt megnő a vérrögképződés kockázata, még azoknál is, akik enyhébb tünetekkel vészelték át a betegséget. Ha post-Covid szindrómára gyanakszunk, akkor érdemes felkeresni a legközelebbi sürgősségi osztályt, ahol a mélyvénás trombózist, a szívelégtelenséget és a tüdőembóliát ki kell zárni.

Koronavírus kezelése

Jelenleg nincs olyan gyógyszer, ami specifikusan a koronavírus fertőzés ellen van. A koronavírus kezelése éppen ezért a tünetek enyhítését, az életfunkciók stabilitásának megőrzését célozza. A szakemberek folyamatosan vizsgálják, hogy milyen hatással vannak a vírusra az ismert antivirális szerek.

Mivel vírusfertőzésről van szó, a koronavírus ellen teljesen hatástalanok az antibiotikumok! Ezek szedése kifejezetten káros lehet virális fertőzés esetén, többek között növelheti a gyógyszerrezisztens kórokozók kialakulásának esélyét.

A legújabb eredmények szerint bizonyos gyógyszer kombinációk segítségével jól kezelhető a COVID-19, ám ezek széles körű alkalmazására még várni kell. A legígéretesebbnek a hepatitisz, a HIV/AIDS, a malária és a vérzéses lázak elleni gyógyszerek, gyógyszer kombinációk bizonyultak. Remdesivirt és klorokint már több koronavírus fertőzött beteg kapott világszerte.

Koronavírus megelőzése

Mivel a náthához, (szezonális) influenzához hasonló, cseppfertőzéssel terjedő fertőző betegségről van szó, a megelőzéséhez hasonló szabályokat kell betartani.

  • Rendszeresen és alaposan mossunk kezet szappannal, alkalmanként legalább 20-30 másodpercig!
  • Ha nincs lehetőségünk a szappanos kézmosásra, alkalmazzunk alkoholos fertőtlenítő kéztisztító zselét!
  • Tüsszentéskor, köhögéskor tegyünk zsebkendőt az arcunk elé, vagy köhögjünk, tüsszentsünk a könyökhajlatunkba!
  • Kerüljük a zsúfolt helyeket!
  • Viseljünk az orrot és a szájat takaró arcmaszkot!
  • Tartsuk a távolságot!

Kövesse az Egészségkalauz cikkeit a Google Hírek-ben , a Facebook-on, az Instagramon vagy a X-en, Tiktok-on is!

Forrás: EgészségKalauz
# koronavírus # koronavírus tünetei # koronavírus kezelése # Covid-19 # koronavírus diagnózisa # koronavírus lefolyása # koronavírus szövődményei # tüdőgyulladás

TÜNETKERESŐ

pulzus ikon

Milyen betegségre utalhatnak a tünetei?

keresés

Keresés, pl. fejfájás

Írja be a keresőmezőbe a tünetet vagy kattintson a testmodellen arra a testrészre, ahol a tüneteket észleli.

emberi test ábra

Mi a tünetkereső?

Ingyenes tünetellenőrző, ami percek alatt segíthet beazonosítani a problémáját!

Adja hozzá a Híreket a Google hírfolyamához
Tünetkereső illusztráció Tünetkereső Orvos válaszol illusztráció Orvos válaszol Gyógyszerkereső illusztráció Gyógyszerkereső Kalkulátorok illusztráció Kalkulátorok

Extra ajánló

Értesüljön legújabb híreinkről hírlevelünkből

Legnépszerűbb

egészségkalauz logo

TÜNETKERESŐ

pulzus ikon

Milyen betegségre utalhatnak a tünetei?

keresés

Keresés, pl. fejfájás

Keresés