Ezeket látta már?

Mi a Helicobacter gastritis?

Orvosi lexikon
2024. február 05. 15:34
mi a Helicobacter gastritis?

A gyomorhurut (gastritis) a gyomor nyálkahártyájának gyulladását jelenti és általában a szövettani vizsgálat eredményére hivatkozva szokták diagnosztizálni.

Mi az a Helicobacter gastritis?

A Helicobacter gastritis a Helicobacter pylori baktérium által gyomorban okozott fertőzés. A világ számos részén ez a gyomorhurut leggyakoribb oka. A Helicobacter pylori egy baktérium, mely képes a gyomor nyálkahártyájában megtelepedni, és ott tartósan élősködni. Ennek során fokozott gyomorsavtermelést, gyomorhurutot, esetleg súlyosabb betegséget, például gyomorfekélyt vagy gyomorrákot is okozhat.

Milyen tünetei vannak a Helicobacter gastritisnek?

A Helicobacter-gasztritisz gyakori tünetei közé tartozik a hányinger, hányás, puffadás és hasi fájdalom. A fájdalom étkezés után rosszabb lehet. Néhány Helicobacter-gasztritiszben szenvedő embernél nem jelentkeznek tünetek, és a fertőzést véletlenül fedezik fel, amikor más okból végzett vizsgálatokra kerül sor.

A Helicobacter pylori-fertőzés főbb tünetei

A tudomány még nem talált magyarázatot arra, mi okozza, hogy a Helicobacter pylori-fertőzés egyeseknél nem okoz tüneteket, míg másoknál akár súlyos formában is jelentkezhet. Ha a Helicobacter pylori-fertőzés és annak szövődményei tüneteket okoznak, akkor azok az alábbiak lehetnek:

  • fájdalom vagy égő érzés a gyomorban,
  • olykor a fájdalom erősebb éjszaka, vagy ha a gyomor üres,
  • hányinger,
  • étvágytalanság,
  • gyakori böfögés,
  • puffadás,
  • fogyás.

Amennyiben a fentebbi tüneteket tapasztalja, keresse fel háziorvosát, aki szükség esetén beutalja gasztroenterológiai szakrendelésre.

Hogyan kaphattam el a Helicobacter pylori fertőzést?

A Helicobacter pylori-fertőzés emberről emberre vagy szennyezett élelmiszerrel, vízzel terjed. Átadható nyállal, vagy hányással, széklettel való közvetett érintkezés útján. A Helicobacter pylori-fertőzés – amely sokszor gyermekkorban alakul ki, de bármelyik korosztály megkaphatja – az egyik leggyakoribb fertőzés a világon; a fejlődő országokban szinte a teljes felnőtt népességet érinti, hazánkban 50-60 százalékukat. Sokan nem is tudják, hogy Helicobacter pylori-baktériummal fertőzöttek, ugyanis a fertőzés gyakran egyáltalán nem okoz tüneteket.

A Helicobacter pylori-baktériummal való fertőződés kockázati tényezői gyermekkorban:

  • zsúfolt otthon (sok családtag él kis helyen),
  • tiszta folyóvíz hiánya,
  • Helicobacter pylori-fertőzéssel élő családtag.

Hogyan történik a Helicobacter pylori diagnózisa?

A Helicobacter gastritis diagnózisa a felső endoszkópiának nevezett eljárás során végzett biopszia után állítható fel. Ez az eljárás egy kis kamerát használ a gyomor belsejébe való betekintéshez. A biopsziát ezután patológushoz küldik, aki mikroszkóp alatt megvizsgálja a szövetet. Egyéb nem invazív vizsgálatok közé tartozik a mellhormonvizsgálat és a széklet antigénvizsgálat.

Hogyan néz ki a Helicobacter pylori gyomorhurut a mikroszkóp alatt?

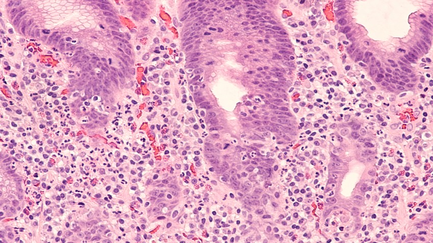
A gyomor Helicobacter pylori által okozott fertőzése a gyomor belsejét borító szövet gyulladását okozza. A patológusok a gyomorban kialakuló gyulladást krónikus aktív gyomorhurutnak nevezik, mivel mind krónikus gyulladásos sejteket, például plazmasejteket és limfocitákat, mind pedig aktív gyulladásos sejteket, például neutrofileket tartalmaz. Hosszan tartó gyulladásokban immunsejtek kerek, limfoid tüszőknek nevezett gyülekezetei láthatók. A gyomor belsejében lévő sejtek is megváltozhatnak, és jobban hasonlíthatnak a vékonybél belsejében általában található sejtekhez. Ezt nevezik bélmetapláziának. A gyomor bélmetapláziája azért fontos, mert idővel növeli a gyomorrák egy adenokarcinóma nevű típusának kialakulásának kockázatát.

Mikroszkópos kép egy endoszkópos gyomor (gyomor) biopsziáról, amely a Helicobacter pylori, egyfajta bakteriális fertőzés okozta krónikus aktív gyomorhurutot (gyulladást) mutat.

Mikroszkópos kép egy endoszkópos gyomor (gyomor) biopsziáról, amely a Helicobacter pylori, egyfajta bakteriális fertőzés okozta krónikus aktív gyomorhurutot (gyulladást) mutat.

Forrás: shuttertock.com


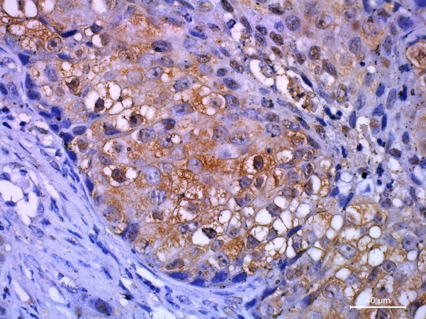
Immunhisztokémia a Helicobacter pylori kimutatására

A gyomor Helicobacter pylori fertőzése többféleképpen is kimutatható, így a kezelőorvos is több nyomon elindulhat. Kérhet például:

  • kilégzéses tesztet (karbamid-kilégzéses teszt),
  • vérvizsgálatot (a baktérium ellen termelődő antitestre szűrnek),
  • székletminta-vizsgálatot (antigénnel vizsgálják a baktérium jelentlétét),
  • endoszkópos vizsgálatot (esetleg szövetmintavétellel egybekötve).

A patológusok egy immunhisztokémia nevű vizsgálatot végezhetnek a Helicobacter pylori baktériumok kimutatására a gyomor belső felszínén. Amikor ezt a vizsgálatot elvégzik, a baktériumok barna vagy vörös színűnek tűnnek, és lehetnek kerekek vagy vessző alakúak.

Az immunhisztokémiai festést a szövettanban használják kutatásra vagy diagnózisra.

Az immunhisztokémiai festést a szövettanban használják kutatásra vagy diagnózisra.

Forrás: shuttertock.com


Hogyan kezelik a Helicobacter gastritist?

Nem minden helicobacter-fertőzöttnek van szüksége kezelésre, ám ha a betegség (vagy annak szövődménye) tüneteket okoz, akkor az elsődleges cél a baktérium elpusztítása. A kezeletlen Helicobacter-fertőzés gyomorfekélyt okozhat, és a gyomorrák kialakulásának kockázatát is növeli.

A Helicobacter elleni kezelése általában egyszerre kétféle antibiotikum, illetve egy savcsökkentő gyógyszer (protonpumpagátló) két héten át történő szedésével történik. A kezelést érdemes diétával is kiegészíteni.

Amennyiben az első kezelés nem vezet eredményre, úgy egy újabb kombinált gyógyszeres kúrára lehet szükség. Ha ezzel sem sikerül a baktériumot elpusztítani, akkor javasolt a baktériumtenyésztés és az antibiotikum-rezisztencia vizsgálata.

A Helicobacter pylori kiirtásával felgyorsul egy esetleges fekély gyógyulása, és újabbak képződése is megakadályozható. Sikeres kezelés után az újbóli fertőződés kockázata alacsony.

Mi a Helicobacter pylori (H. pylori) diéta lényege?

A Helicobacter pylori (H. pylori) diéta során fontos, hogy a rossz emésztés elkerülése érdekében alacsony zsírtartalmú, és a könnyen emészthető ételeket, például a gyümölcsöket és zöldségeket hámozatlanul vagy főzve részesítse előnyben, különösen aktív tünetek esetén.

Lényeges, hogy az étkezéseket napi 5-6 étkezésre osszuk fel, a főétkezéseken kívül fogyasszunk folyadékot, lassan együnk és jól rágjuk meg az ételt - a kávét és az alkoholos italokat pedig minimálisra mérsékeljük vagy kerüljük.

A H.pylori-kezelés során a tünetek csökkentését és a gyorsabb gyógyulást étrenddel is segíthetjük az alábbi élelmiszerek fogyasztásával:

1. Könnyen emészthető szénhidrátok

A H. pylori baktérium okozta gyomorhurutos tüneteket, kellemetlenségeket enyhíthetjük könnyen emészthető gabonafélékkel. Fogyaszthatunk például fehér rizst, fehér kenyeret, fehér tésztát, krémkekszet és kukorica- vagy búzakeményítőt - olyan ételeket, amelyek keményítőben gazdagok és rostban szegények.

Amikor a kezelés kezd hatni, és a kellemetlen érzés kezd enyhülni, a teljes kiőrlésű ételek fokozatosan, óvatosan, a saját tűrőképességünknek megfelelően építhetők be újra.

2. Friss gyümölcs és zöldség

Aktív tünetek, tehát gyomorégés és/vagy gyomorfájás esetén az ideális az, ha a gyümölcsöket és zöldségeket hámozatlanul, magok nélkül és lehetőleg főzve fogyasztjuk. Így sokkal könnyebben emészthetők, ami jót tesz a bélműködésnek.

A leginkább ajánlott gyümölcsök a hámozott és/vagy főtt alma és körte, a banán, a görögdinnye, a sárgadinnye és a papaya.

3. Fehérjében gazdag élelmiszerek

Egyes fehérjében gazdag élelmiszerek, például a fehér húsok, a hal, a tojás, a fehér vagy alacsony zsírtartalmú sajtok, vagy a sovány vörös húsok alacsonyabb zsírtartalmúak - válasszuk ezeket alapanyagnak. Az ilyen típusú fehérjéket könnyebb megemészteni, mert nem töltenek annyi időt a gyomorban, így segíthetnek megelőzni a gyomorégést.

4. Probiotikumok

A probiotikumok természetes formában is jelen vannak az olyan élelmiszerekben, mint a joghurt és a kefir, de étrend-kiegészítőként, kapszula vagy por formájában is beszerezhetők.

Ezek a hasznos hasznos baktériumok, probiotikumok serkentik a H. Pylori ellen harcoló segítő anyagok termelődését, és abban is támogatnak minket, hogy csökkenjenek a fertőzés antibiotikumokkal történő kezelése során fellépő mellékhatások ( hasmenés, rossz emésztés).

5. Omega 3 és omega 6-ban gazdag élelmiszerek

Az omega-3 és omega-6 zsírsavak egészséges zsírok, amelyek segíthetnek csökkenteni a gyomorban a gyulladást, és megakadályozzák a Helicobacter pylori szaporodását, így támogatva a betegség kezelését.

A H. pylori baktérium elleni kezelés során érdemes tehát omega-3-ban gazdag ételeket, olívaolajat, halakat fogyasztani, így például tonhalat, a makrélát, a pisztrángot, vagy tőkehalat.

Kattintson ide és nézze meg, mit tartalmaz pontosan egy 3 napos H. pylori diéta mintaétrend!

<KÖVETKEZŐ CIKK>

Ez a fertőző baktérium sok savat és gyomorrákot okozhat - ezekre a jelekre figyeljen!



EGÉSZSÉGKALAUZ DOSSZIÉ

Kövesse az Egészségkalauz cikkeit a Google Hírek-ben , a Facebook-on, az Instagramon vagy a X-en, Tiktok-on is!

Forrás: PathologyReport
# Helicobacter gastritis # gastritis # gyomorhurut # fertőzés # hányinger # hányás # puffadás # hasi fájdalom

TÜNETKERESŐ

pulzus ikon

Milyen betegségre utalhatnak a tünetei?

keresés

Keresés, pl. fejfájás

Írja be a keresőmezőbe a tünetet vagy kattintson a testmodellen arra a testrészre, ahol a tüneteket észleli.

emberi test ábra

Mi a tünetkereső?

Ingyenes tünetellenőrző, ami percek alatt segíthet beazonosítani a problémáját!

Adja hozzá a Híreket a Google hírfolyamához
Tünetkereső illusztráció Tünetkereső Orvos válaszol illusztráció Orvos válaszol Gyógyszerkereső illusztráció Gyógyszerkereső Kalkulátorok illusztráció Kalkulátorok

Extra ajánló

Értesüljön legújabb híreinkről hírlevelünkből

Legnépszerűbb

egészségkalauz logo

TÜNETKERESŐ

pulzus ikon

Milyen betegségre utalhatnak a tünetei?

keresés

Keresés, pl. fejfájás

Keresés