Tüdőgyulladás típusai, tünetei, kezelése és szövődményei

tüdőgyulladás típusai, tüdőgyulladás tünete, tüdőgyulladás kezelése, tüdőgyulladás szövődménye, koronavírusos tüdőgyulladás, bakteriális tüdőgyulladás, tüdőgyulladás BNO
Tünetkereső illusztrációTünetkereső Orvos válaszol illusztrációOrvos válaszol Gyógyszerkereső illusztrációGyógyszerkereső Kalkulátorok illusztrációKalkulátorok Betegségek A-Z illusztrációBetegségek A-Z
Egeszsegkalauz
2021. március 30. 08:56

Tüdőgyulladás vagy más néven pneuomónia különösen a koronavírus-fertőzés óta egy gyakori, az életet veszélyeztető, jelentős halálozással járó légúti betegség. Mi okozza, melyek a tünetei, és miért nem mindegy, hogy melyik típusú tüdőgyulladással van dolgunk?

A tüdőgyulladás elsősorban a legyengült védekezőképességű személyeket, az időseket és a krónikus betegeket veszélyezteti. A gyulladás két-három hét alatt jól kikezelhető betegség, amennyiben mielőbb felismerése kerül a problémát okozó vírus, baktérium vagy gomba.

A WHO adatai szerint a világon a 7. leggyakoribb halálok a tüdőgyulladás, még napjainkban is. Nem egyenlő arányban fordul elő a kórkép legyengült állapotú egyének és erős immunrendszerrel rendelkezők között, illetve az életkor tekintetében is különbségek mutatkoznak.

TÜDŐGYULLADÁS BNO-KÓDJAI
BNO kód: J12-J18 (ICD11: CA40)
(BNO részletesen: J12: vírusos tüdőgyulladás
J13: Streptococcus pneumoniae okozta tüdőgyulladás
J14: Haemophilus influenzae okozta tüdőgyulladás
J15: bakteriális tüdőgyulladás
J16: más fertőző ágensek okozta tüdőgyulladás (pl. chlamydia)
J17: más betegségek szövődményeként kialakuló tüdőgyulladás
J18: nem meghatározott eredetű tüdőgyulladás
CA40.0: Bakteriális tüdőgyulladás
CA40.1: Vírusos tüdőgyulladás
CA40.2: Gombás tüdőgyulladás

Tüdőgyulladás oka, tüdőgyulladás kialakulása

A pneumóniát leggyakrabban baktérium vagy vírus okozza, de más paraziták, belélegzett gőzök, gázok, illetve akár a légzőrendszerbe került idegentest is kiválthatja.

A tüdőgyulladásoknak mindössze 20-30 százalékát okozzák baktériumok, viszont ezen megbetegedéseknek a halálozása a többi kórokozó által kiváltott megbetegedésnek akár a 2-3-szorosa is lehet. Magyarországon a teljes antibiotikum-fogyasztásnak mintegy a tizedét a tüdőgyulladások kezelésére használjuk fel.

A baktériumok közül a leggyakoribbak:

Koronavírus okozta tüdőgyulladás

Kialakulásának oka lehet a koronavírus fertőzés is, ami az esetek nagy részében enyhébb vagy mérsékelt tüneteket okoz, de az egyik legsúlyosabb szövődménye a tüdőgyulladás. Eddigi tapasztalatok szerint a koronavírusos tüdőgyulladás azért is veszélyes, mert valószínűsíthető, hogy az egész tüdőt érinti, és nem csak annak bizonyos részeit, ráadásul nagy kockázatot jelentenek a másodlagos fertőzések is. A fertőzés után, szödményként is megmaradhat a tüdőgyulladás, ezért ha napokkal-hetekkel később is nehézlégzést, köhögést, krónikus fáradtságot tapasztal a beteg, érdemes azt kivizsgáltatni.

Így néz ki röntgenfelvételen a koronavírusos tüdőgyulladás:

Koronavírus okozta tüdőgyulladás röntgenfelvétele (a fehér rész az érintett) Forrás: https://www.journalpulmonology.org/

Koronavírus okozta tüdőgyulladás röntgenfelvétele (a fehér rész az érintett) Forrás: https://www.journalpulmonology.org/

Forrás: egeszsegkalauz.hu


Kiket érinthet a tüdőgyulladás?

A pneumonia minden korosztályban előfordulhat, de a legsúlyosabb általában az 5 éven alattiaknál és a 65 éven felülieknél. A csecsemőknél és kisgyerekeknél a fejletlen immunrendszer, az időseknél a legyengült immunrendszer és a társuló, krónikus betegségek állhatnak ennek hátterében.

A tüdőgyulladás férfiakat és nőket egyaránt érint. A nők esetében valamivel nagyobb az esélye a tüdőgyulladás kialakulásának, ám a férfiaknál általában súlyosabb a betegség, és a halálozás aránya is magasabb.

Tüdőgyulladás tünetei

A tüdőgyulladást nem minden esetben könnyű idejében felismerni, hiszen gyakran hasonlít megfázásra vagy influenzára, amely szintén levertséggel, köhögéssel és lázzal kezdődik. Az alábbi tünetek észlelésével gyanakodhat a tüdőgyulladás fennállására:

  • Száraz vagy váladékos köhögés 
  • Köpetürítés
  • Mellkasi fájdalom
  • Levegővételre, köhögésre fokozódó oldalszúrás
  • Gyors, nehéz vagy fájdalmas légzés, légzési nehézség, légszomj
  • Belázasodás idején hidegrázás
  • Láz, magas láz
  • köhögés, majd köpet ürítése, akár véres köpet
  • Izzadás
  • Végtagfájdalom
  • Fáradékonyság, levert, rossz közérzet
  • Súlyos formában szapora pulzus, felületes, kapkodó légzés, szederjes bőr, nyálkahártyák (cyanosis), alacsony vérnyomás.

A tünetek elég jelentős eltérést mutatnak az alapján, hogy típusos vagy atípusos baktérium, esetleg vírus áll a probléma háttérében. De a mellkasi fájdalom gyakori tünet a tüdőgyulladás összes típusánál!

A tünetek függhetnek a háttérben álló egyéb betegségektől, illetve a panaszokat okozó fertőző kórokozótól.

Tüdőgyulladás tünetei kórokozók szerint

Vírusos tüdőgyulladás

A tüdőgyulladásos esetek felét vírusok okozzák. A vírusos tüdőgyulladás influenzaszerű tünetekkel indul:

  • száraz köhögés
  • fejfájás
  • láz
  • izomfájdalom
  • fáradtság jelentkezik.

A betegség előrehaladása során

  • légszomj
  • köhögés
  • kis mennyiségű fehér köpet társulhat ezekhez.

Vírusos tüdőgyulladásban nagy a másodlagos bakteriális tüdőgyulladás kialakulásának kockázata is.

Bakteriális tüdőgyulladás

Sokféle baktérium okozhat tüdőgyulladást. Bakteriális tüdőgyulladás önmagában is kialakulhat, követhet vírusos tüdőgyulladást és folyhat azzal párhuzamosan is. A tünetek nagy valószínűséggel hirtelen jelentkeznek:

  • hidegrázás
  • magas láz,
  • izzadás
  • légszomj,
  • majd mellkasi fájdalom
  • sárgás-zöldes köpet ürítése.

Fontos tudni, hogy a magas kockázatú csoportba tartozók, így az idősebbek, a krónikus betegségben szenvedők és a gyenge immunrendszerű betegek enyhébb tünetekkel rendelkeznek, mint a jobb gyógyhajlamú kisebb kockázatú betegek. A tüdőgyulladásra jellemző magas láz, például időseknél akár teljesen el is maradhat.

A bakteriális tüdőgyulladás, általában az egyik oldali tüdő egy lebenyére (lobus) korlátozódik, ezt lobáris pneumóniának nevezik. Amennyiben a bakteriális tüdőgyulladás egy lebenynél nagyobb kiterjedésű, a beteg nagy veszélynek van kitéve.

Mikoplazma

Ez a kórokozó egy speciális baktériumtípushoz tartozik (csak sejten belül tud tartósan életben maradni), ezért az általa okozott tüdőgyulladást elkülönítik a gennykeltő baktériumok okozta bakteriális tüdőgyulladástól. A vírusos pneumóniához hasonló (influenzaszerű) tüneteket hoz létre, bár ezek lassabban alakulnak ki. Lehet, hogy a beteg nem is veszi észre, hogy tüdőgyulladása van. A mikoplazmás pneumónia nagyon fertőző, ezért gyakori iskolás gyerekek és fiatal felnőttek körében. Jól reagál a megfelelő antibiotikumokra, a folyamatos száraz köhögés, azonban emellett is heteken keresztül fennállhat, és a lábadozás alatt a beteg gyengének érezheti magát.

Gomba

Bizonyos gombák (pl. Candida fertőzés szisztémássá válása esetén) szintén okozhatnak tüdőgyulladást, ami szerencsére nem gyakori. A legtöbb eset nagy kockázatú egyéneknél alakul ki (krónikus légzőszervi betegség, veleszületett vagy szerzett immunhiányos állapot, rosszindulatú daganat jelenléte, daganatellenes kemoterápia, szteroidkezelés, időskor, leromlott általános állapot), ilyenkor viszont nehezen kezelhető és hosszan tart. Jellemző a gyengeség és a bő gennyes köpetürítés.

Pneumocystis carinii

A Pneumocystis carinii egysejtű parazita, amely nagy kockázatú egyéneken (pl. AIDS-esek, szerv-transzplantáción átesett, és emiatt legyengített immunrendszerű betegek, daganatellenes kemoterápiát, szteroidot vagy más, az immunrendszert gátló gyógyszert kapó betegek) hoz létre általában jól kezelhető tüdőgyulladást. Jellemző tünet a folyamatos köhögés, láz és légszomj.

Atípusos tüdőgyulladás tünetei

A tüdőgyulladás esetenként nehezebben diagnosztizálható, mivel csak egy-két nem specifikus tünet utal rá. Elhúzódó köhögéssel és elesettséggel, hőemelkedéssel vagy étvágytalansággal járó állapot esetén érdemes lehet tüdőgyulladásra gondolni és szakorvoshoz fordulni, mivel ezek lehetnek az atípusos tüdőgyulladás jellemzői.

Tüdőgyulladás típusai

A tüdőgyulladás különböző típusait különböztetjük meg annak függvényében, hogy a tüdő mely részeire terjedt át a probléma, illetve honnan került a szervezetbe a problémát okozó kórokozó. Egyes típusaira csak enyhe tünetek jellemzőek és akár orvosi kezelés nélkül is gyógyul a beteg, míg súlyosabb formáira kórházi kezelés és több hétig tartó gyulási folyamat jellemző.

Kiterjedésétől függően megkülönböztetünk lebenyes (lobáris) és gócos formát (bronchopneumóniát). A lobáris pneumóniában egy vagy több teljes tüdőlebeny, esetleg csak egy tüdőrész érintet. A gyulladásos területen a léghólyagocskák (alveolusok) folyadékkal, úgynevezett gyulladásos izzadmánnyal (exudatum) telnek meg. A gyulladás által a tüdőlebeny mind nagyobb területe válhat érintetté, sőt a betegség nem ritkán több tüdőlebenyre kiterjed, illetve átterjed a másik oldali tüdőfélre is. A gyulladásos folyamatok általában ráterjedhetnek a tüdőt befedő mellhártyára is, mellhártyagyulladást okozva. A bronchopneumonia ezzel szemben a páros szerv összes légutait érinti, vagyis a teljes tüdőt.

A tüdőgyulladás kialakulási mechanizmusai alapján elkülönítendők az elsődleges (primer) és a másodlagos (szekunder) pneumóniák. Elsődleges tüdőgyulladás ép tüdőben keletkezik, és legtöbbször vírusok okozzák, míg a szekunder pneumónia már valamilyen meglévő (akár tüdő) betegség talaján fejlődik ki. A szekunder tüdőgyulladás az évente visszatérő influenzajárványok és sajnos újabban a koronavírus-járvány leggyakoribb szövődménye is. A baktériumok könnyű behatolását a kórokozók belégzése és a légúti hám sérülései teszik lehetővé.

Tüdőgyulladás kivizsgálása

A pontos diagnózis felállításához és a helyes terápia kiválasztásához mielőbb tüdőgyógyász szakorvoshoz érdemes fordulni. A tünetek sokszor egyéb felsőlégúti megbetegedésekre is utalhatnak, így nagyon fontos elkülöníteni az orvosi kivizsgálás során a hasonló tünetekkel járó kórképektől a tüdőgyulladást.

A tüdőgyulladás kivizsgálásának menete:

A tüdőgyulladás diagnosztizálása

A tüdőgyulladás diagnózisát általában három tényező megléte (ún. diagnosztikai triád) esetén mondják ki. Ezek:

  1. 1 a fertőzésre utaló tünetek (pl. láz vagy fehérvérsejtek emelkedett száma a vérben),
  2. 2 a légutakra koncentrálódó tünetek (köhögés, köpetürítés, légszomj, mellkasi fájdalom stb.),
  3. 3 a képalkotó vizsgálat során a röntgenfelvételen (esetenként mellkas-CT-n) észrevehető új vagy megváltozott elváltozás.
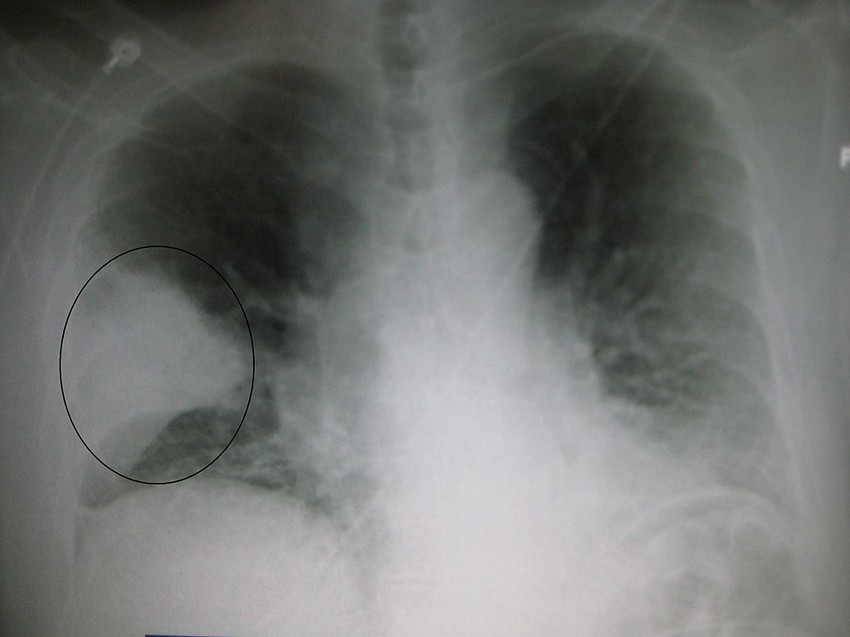
Jól körülhatárolt tüdőgyulladásos (jobb középső lebenyi) terület röntgenképe

Jól körülhatárolt tüdőgyulladásos (jobb középső lebenyi) terület röntgenképe

Forrás: wikipedia


Bizonyos esetekben, például tüdődaganatos, tüdőfibrózisos (vagy más krónikus tüdőbetegséggel küzdő) betegeknél a tüdőgyulladás diagnosztizálása rendkívül nehéz lehet. Szintén nehezíti a betegség megállapítását az atipikus tüdőgyulladás.

Az idős, gyakran leginkább veszélyeztetett korosztálynál a pneumonia enyhébb tünetekkel jelentkezhet, előfordulhat, hogy a zavarodottság az egyetlen tünet, ez pedig lassíthatja a diagnosztizálást, a megfelelő terápia megkezdését, így pedig fokozhatja a súlyos, életveszélyes szövődmények kialakulásának a rizikóját.

Tüdőgyulladás kezelése

A kezelés elsősorban attól függ, hogy mennyire súlyosak a tünetek, illetve milyen kórokozó okozta a tüdőgyulladást. Szóba jöhetnek antibiotikumok a bakterális fertőzések esetén, illetve antivirális szerek, ha vírus sejthető a probléma hátterében. Minden esetben fontos a megfelelő folyadékpótlás, kezdeti ágynyugalom és szükséges lehet a tünetek kezelése is (pl köptetővel).

A tüdőgyulladásos beteg kezelése, teljes gyógyulása több hétig tartó folyamat. A panaszok megszűnését követően még több hetet vehet igénybe, míg a röntgenelváltozások is a visszahúzodnak. A helyese terápia kiválasztása és a kezelés megfelelő alkalmazása ellenére is előfordul, hogy néha tüdőgyulladás maradványai maradnak a tüdőben.

Epidemiológia

Az alsó légutakat érintő fertőzések követelik a legtöbb halálos áldozatot a világon évente a fertőző betegségek közül, többet, mint a malária, a tuberkulózis és a HIV/AIDS együttesen.

Nehéz pontosan megbecsülni, hogy évente hány embert érint a tüdőgyulladás és pontosan hány halálos áldozatot követel. Az adatok szerint 450 millió embernél diagnosztizálnak tüdőgyulladást évente (ennek közel 50 százaléka vírusos eredetű megbetegedés), és 4 millió esetben nem lehet megmenteni a beteget. Ezzel a tüdőgyulladás a vezető halálokok közé tartozik. Ezek a számok azonban valószínűleg alábecsültek, hiszen sokszor fordul elő, hogy a tüdőgyulladás más, rendkívül súlyos betegséggel együtt jelentkezik, vagy csak közvetetten okozza a beteg halálát. A szepszisnek (vérmérgezésnek) például a tüdőgyulladás az egyik leggyakoribb oka, és az Alzheimer-kóros, demenciával vagy daganatos betegségekkel küzdőknél a betegség szövődményeként kialakuló tüdőgyulladás gyakran végzetes.

A tüdőgyulladás a világ minden részén előforduló betegség. Ugyanakkor a pneumonia kialakulásának hátterében álló kórokozó régiónként változhat.

A betegség gyakoribb a hűvösebb, téli hónapokban, hasonlóan az influenzához vagy más légúti megbetegedésekhez.

Tüdőgyulladás szövődményei

A tüdőgyulladás lehetséges, súlyos, életveszélyes szövődményei közé tartozik a szeptikus sokk, az akut légzőszervi distressz szindróma (ARDS), illetve a veseelégtelenség.

Tüdőgyulladás esetén bizonyos esetekben szükség lehet mesterséges táplálásra, főleg ha a beteg általános állapota súlyos, vagy ha nyelési nehézség (dysphagia) is társul hozzá. Ez különösen gyakori idős, legyengült vagy stroke-on átesett betegeknél, akiknél a tüdőgyulladás oka is lehet félrenyelés (aspiráció).

Tüdőgyulladás megelőzése

A pneumonia megelőzésében (a már jól ismert, fertőző betegségek elleni módszerek, pl. a rendszeres, alapos kézmosás mellett) kiemelkedő szerep jut a védőoltásoknak és a dohányzásról való leszokásnak. A dohányzás ugyanis még akkor is fokozza a tüdőgyulladás rizikóját, ha még nem okozott krónikus tüdőproblémákat.

A védőoltások közül a tüdőgyulladás rizikójának csökkentéséhez az influenza elleni vakcina, a koronavírus elleni vakcina illetve a pneumococcus elleni vakcina alkalmazása javasolt.

Gyakori kérdések a tüdőgyulladásról:

H1N1 okozhat tüdőgyulladást?

Igen, a H1N1 influenzavírus egyik legsúlyosabb és legveszélyesebb szövődménye a tüdőgyulladás (pneumonia), amely két különböző módon is kialakulhat. Az első a primer vírusos tüdőgyulladás, amikor maga a H1N1 vírus hatol le a tüdő léghólyagocskáiba (alveolusok), ott súlyos gyulladást és folyadékfelhalmozódást okozva. Ez a forma különösen agresszív lehet, mivel közvetlenül károsítja a gázcseréért felelős felületeket, és gyorsan légzési elégtelenséghez vezethet. A második forma a másodlagos bakteriális tüdőgyulladás, amely akkor jelentkezik, amikor a vírus által legyengített tüdőszövetet baktériumok (például Streptococcus pneumoniae vagy Staphylococcus aureus) támadják meg.

A hörghurut összefügghet a tüdőgyulladással?

Igen, a hörghurut (bronchitis) és a tüdőgyulladás (pneumonia) között szoros összefüggés van, hiszen mindkettő a légutak gyulladásos megbetegedése. A hörghurut során a tüdőbe vezető hörgők nyálkahártyája gyullad be, míg tüdőgyulladás esetén a fertőzés mélyebbre jut, és a léghólyagokat érinti. Gyakori jelenség, hogy egy elhanyagolt vagy súlyosbodó hörghurut „ráhúzódik a tüdőre”, így a gyulladás továbbterjed a hörgőkből a tüdőszövetekre. Ez az átmenet különösen legyengült immunrendszer, dohányzás vagy krónikus alapbetegségek esetén következik be könnyebben.

Lehet összefüggés a tüdőtágulat és a tüdőgyulladás között?

Igen, a tüdőtágulat (emfizéma) és a tüdőgyulladás között szoros és veszélyes összefüggés van, mivel a tágulat jelentősen növeli a fertőzések kialakulásának kockázatát. A tüdőtágulat során károsodott léghólyagok és a beszűkült légutak miatt a tüdő öntisztuló képessége romlik, így a baktériumok és vírusok könnyebben megtelepednek a tüdőszövetben. A váladék nehezebben ürül ki a tágult üregekből, ami ideális táptalajt biztosít a kórokozók elszaporodásához és a gyulladás kialakulásához.

Lehet összefüggés az ARDS és a tüdőgyulladás között?

Igen, az ARDS és a tüdőgyulladás között lehet összefüggés. A súlyos bakteriális, vírusos vagy gombás tüdőgyulladás kiterjedt gyulladást okozhat a tüdő szöveteiben, ami a léghólyagocskák folyadékkal való megteléséhez vezet. Ez a folyamat rontja a gázcserét, ami ARDS kialakulásához vezethet. Különösen magas kockázatúak azok a betegek, akiknél a tüdőgyulladás gyorsan terjed vagy súlyos kiterjedésű.

Lehet összefüggés a vérzés és a tüdőgyulladás között?

Igen, lehet összefüggés a vérzés és a tüdőgyulladás között. Bizonyos tüdőgyulladások, különösen baktériumok vagy súlyos fertőzések okozta pneumóniák, károsíthatják a tüdő szöveteit és a hajszálereket, ami vérköpést eredményezhet. Emellett tüdőgyulladás esetén fellépő gyulladásos váladék és köhögés is elősegítheti a kisebb vérerek felszakadását.

Lehet összefüggés a combnyaktörés és a tüdőgyulladás között?

Igen, lehet összefüggés a combnyaktörés és a tüdőgyulladás között. A combnyaktörés gyakran hosszabb fekvést vagy mozgáskorlátozottságot von maga után, ami csökkenti a tüdő teljes kitérést és a légzés hatékonyságát. Ez kedvez a tüdőgyulladás kialakulásának, különösen idősebb vagy alapbetegségekkel rendelkező betegeknél.

A tüdőgyulladás összefügghet a krónikus csuklással?

Igen, a tüdőgyulladás összefügghet a krónikus csuklással. A Tüdőgyulladás során a gyulladás irritálhatja a rekeszizmot vagy a csuklásért felelős idegeket, például a bolygóideget. Ez reflexszerű, ismétlődő rekeszizom-összehúzódásokat válthat ki, amelyek csuklásként jelentkeznek. Emellett a gyulladáshoz társuló köhögés, láz és légzési nehézség tovább fokozhatja a csuklás intenzitását.

A gyermekbetegségek összefügghetnek a tüfőgyulladással?

A gyermekbetegségek és a tüdőgyulladás között szoros kapcsolat áll fenn, mivel a kezeletlen vagy súlyos lefolyású fertőzések gyakran ráhúzódhatnak az alsó légutakra. Számos vírusos megbetegedés, például az influenza vagy az RSV-fertőzés, közvetlenül is károsíthatja a tüdőszövetet, vagy utat nyithat a bakteriális felülfertőződéseknek. A tüdőgyulladás ilyenkor a hörgők és a léghólyagok gyulladásával jár, ami akadályozza a hatékony gázcserét és nehézlégzést okoz a gyermeknél.

Kövesse az Egészségkalauz cikkeit a Google Hírek-ben, a Facebook-on, az Instagramon vagy a X-en,Tiktok-on is!

Forrás: egeszsegkalauz.hu
# tüdőgyulladás# tüdőgyulladás tünetei# tüdőgyulladás kezelése# tüdőgyulladás BNO# koronavírusos tüdőgyulladás# bakteriális tüdőgyulladás# atipikus tüdőgyulladás

TÜNETKERESŐ

Milyen betegségre utalhatnak a tünetei?

Keresés, pl. fejfájás

Írja be a keresőmezőbe a tünetet vagy kattintson a testmodellen arra a testrészre, ahol a tüneteket észleli.

emberi test ábra

Mi a tünetkereső?

Ingyenes tünetellenőrző, ami percek alatt segíthet beazonosítani a problémáját!

Adja hozzá a Híreket a Google hírfolyamához

Címlapról ajánljuk